Mechanism of Injury

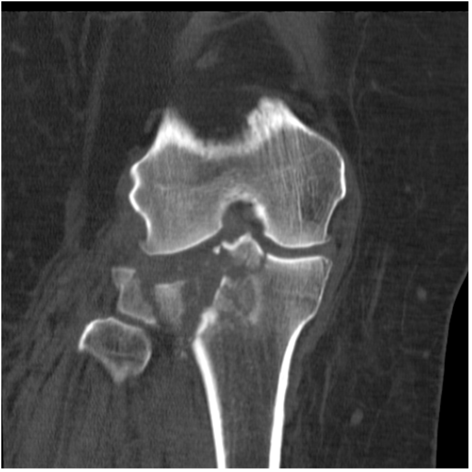
Lateral Tibial Plateau Fracture

An illustrated figure demonstrating the mechanism of injury of Jane Doe, completed in a medical legal style.

Roles: Research, Maquette creation, Sketch, Final rendering, Compositing, Editing

Audience: Judges, Jury, Lawyers

Clients: Professor Stephen Mader

Communication Objective: Illustrate the mechanism of injury for Jane Doe based on real radiological and case information

Medium: Web, Digital

Software: Procreate, Adobe Illustrator

Process

I was provided case files and radiological imaging of a real medical legal case (with permission) and began analyzing and parsing through the information to glean relevant details for the illustration such as how an injury occured, who was involved, what obstacles/environmental elements were involved, the forces and injury mechanics, and the details of the injured person.

I enlisted the help of a classmate to get a reference image for the pose of Jane Doe as they collided with the vehicle.

I determined the fracture to be a type II tibial plateau fracture, which was a result of the lower energy impact of a vehicle on Jane Doe’s medial aspect of their right knee.

A rough sketch was made.

After doing more research and receiving feedback, I refined the illustration.

The final Illustration:

References

Agur, A. M. R., & Dalley, A. F. (2021). Grant's Atlas of Anatomy. Wolters Kluwer. ​ ​

Platzer, W., & Shiozawa-Bayer, T. (2021). Color Atlas of Human Anatomy Vol 1. Locomotor System (5th ed., Vol. 1). Thieme. ​

Previous
Previous

Gustatory Pathway Textbook Spread

Next
Next

Anatomy of the Wrist and Forearm